Cookie Policy: This site uses cookies to improve your experience. You can find out more about our use of cookies in our Privacy Policy. By continuing to browse this site you agree to our use of cookies.
RevMab
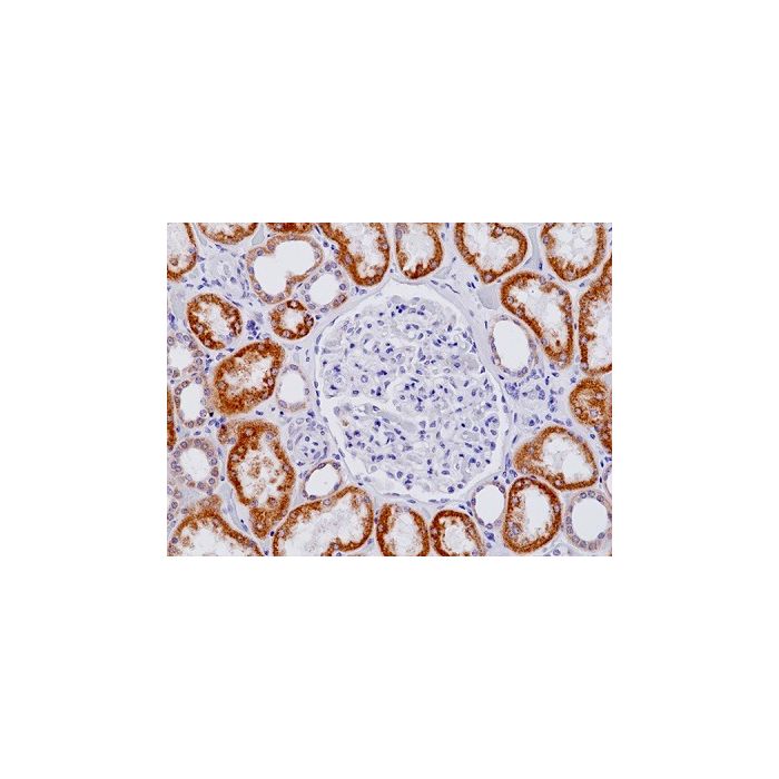
anti-SDHB (human), Rabbit Monoclonal (RM534)

Product Details | |
---|---|
Synonyms | Succinate Dehydrogenase Subunit B |
Product Type | Recombinant Antibody |
Properties | |
Clone | RM534 |
Isotype | Rabbit IgG |
Source/Host | Rabbit |
Immunogen/Antigen | A peptide corresponding to the C-terminus of human SDHB. |
Application |
Immunohistochemistry (IHC): 1:100-1:400 dilution Western Blot (WB): 1:1000-1:2000 dilution |
Crossreactivity | Human |
Specificity |
This antibody binds to human SDHB. |
Purity | Protein A purified. |
Purity Detail | Protein A affinity purified from an animal origin-free culture supernatant. |
Formulation | Liquid. 50% Glycerol/PBS with 1% BSA and 0.09% sodium azide. |
Isotype Negative Control | |
Other Product Data |
Click here for Original Manufacturer Product Datasheet Our product description may differ slightly from the original manufacturers product datasheet. |
Accession Number | P21912 |
Declaration | Manufactured by RevMab Biosciences. |
Shipping and Handling | |
Shipping | BLUE ICE |
Long Term Storage | -20°C |
Handling Advice | Avoid freeze/thaw cycles. |
Use/Stability | Stable for at least 1 year after receipt when stored at -20°C. |
Documents | |
Product Specification Sheet | |
Datasheet |
![]() |
SDHB (Succinate Dehydrogenase Subunit B) is a key component of succinate dehydrogenase (complex II), an enzyme complex in the mitochondrial respiratory chain and the tricarboxylic acid (TCA) cycle. SDHB anchors the catalytic subunits to the mitochondrial inner membrane and facilitates electron transfer from succinate to ubiquinone. Mutations in the SDHB gene disrupt mitochondrial energy metabolism and increase oxidative stress, leading to the accumulation of succinate and stabilization of HIF pathways. Such alterations are linked to hereditary paragangliomas, pheochromocytomas, and several other cancer syndromes.