Cookie Policy: This site uses cookies to improve your experience. You can find out more about our use of cookies in our Privacy Policy. By continuing to browse this site you agree to our use of cookies.
RevMab
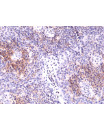
anti-BCMA (human), Rabbit Monoclonal (RM526)
| Product Details | |
|---|---|
| Synonyms | BCMA; B Cell Maturation Protein; Tumor Necrosis Factor Receptor Supefamily Member 17; TNFRSF17 |
| Product Type | Recombinant Antibody |
| Properties | |
| Clone | RM526 |
| Isotype | Rabbit IgG |
| Source/Host | Rabbit |
| Immunogen/Antigen | A peptide corresponding to the C-terminus of human BCMA. |
| Application |
Immunohistochemistry (IHC): 1:100-1:200 dilution |
| Crossreactivity | Human |
| Specificity |
This antibody reacts to human BCMA. |
| Purity | Protein A purified. |
| Purity Detail | Protein A affinity purified from an animal origin-free culture supernatant. |
| Formulation | Liquid. 50% Glycerol/PBS with 1% BSA and 0.09% sodium azide. |
| Isotype Negative Control | |
| Other Product Data |
Click here for Original Manufacturer Product Datasheet Our product description may differ slightly from the original manufacturers product datasheet. |
| Accession Number | Q02223 |
| Declaration | Manufactured by RevMab Biosciences. |
| Shipping and Handling | |
| Shipping | BLUE ICE |
| Long Term Storage | -20°C |
| Handling Advice | Avoid freeze/thaw cycles. |
| Use/Stability | Stable for at least 1 year after receipt when stored at -20°C. |
| Documents | |
| Product Specification Sheet | |
| Datasheet |
Download PDF |
BCMA (B-cell Maturation Antigen) is a cell surface receptor belonging to the tumor necrosis factor receptor (TNFR) superfamily. It is primarily expressed on mature B cells and plasma cells, where it plays a vital role in B cell survival, maturation and antibody production. BCMA is a receptor for BAFF and APRIL. It promotes B cell survival and plays a role in the regulation of humoral immunity. Its downstream signaling is dependent on NF-κB and JNK. In multiple myeloma and other B cell malignancies, BCMA is often overexpressed, making it an important therapeutic target.





Download PDF

